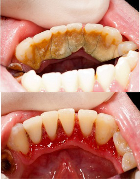
即使每天認真刷牙,仍有40%的牙面難以清潔到位。這些區域的牙菌斑在唾液作用下,會逐漸鈣化形成牙結石——一種堅硬如石的物質,緊緊附著在牙齒表面和牙齦線下。牙結石如同牙齒的"銹垢",成為細菌滋生的溫床,而日常刷牙對此無能為力。

25歲的程序員小廖一直自信於自己早晚刷牙的習慣,直到首次洗牙後,才驚訝地發現隱藏在後牙內側的大塊牙結石。"原來我的牙齒自潔能力這麼差,難怪經常牙齦出血。"
定期洗牙的三大核心價值
01 預防牙周病的"防火墻"
牙周病是成年人牙齒喪失的首要原因。其發展軌跡為:牙菌斑→牙齦炎→牙周炎→牙齒松動。定期洗牙能有效打斷這一進程,將牙周病扼殺在萌芽階段。據臨床數據顯示,定期洗牙人群的牙周炎發病率比不洗牙人群低67%。

02 全身健康的"守門員"
口腔是通往全身的健康門戶。牙周病的致病菌可能進入血液循環,增加患:
心腦血管疾病風險(提升25%)
糖尿病並發癥概率(血糖更難控製)
呼吸道感染幾率
03 經濟效益較高的"健康投資"
目前一次洗牙費用約幾十至幾百元,而牙周病治療費用動輒數千元,種植牙更是高達萬元。每年洗牙1-2次的費用,不及一次牙周基礎治療的1/10。新診客戶即日起至2025年12月31日前往深圳愛康健口腔醫院及12間愛康健齒科連鎖門店洗牙即享:超聲波保健潔牙
60元/次、菌斑導向專業潔牙 158元/次、尚白冷光美白牙
980元/全口、牙周治療8折,如您想約愛康健齒科洗牙,請通過WhatsApp進行詳情了解及預約掛號!
—————————————
在線咨詢<-愛康健口腔->預約掛號方式如下:
大陸電話:0755-61302632
香港電話:00852-62157070
愛康健WhatsApp:+8614775988935
愛康健牙科【在線客服咨詢】
愛康健【網上掛號】
—————————————
破除關於洗牙的三大迷思
迷思一:"每天認真刷牙,不必洗牙"
刷牙如同日常打掃,洗牙好比年終大掃除。再好的牙刷也難以清除已形成的牙結石,尤其是牙齦溝內的沈積物。
迷思二:"洗牙會損傷牙釉質"
正規的超聲波洗牙通過震動擊碎牙結石,對牙釉質的損傷微乎其微。相反,長期不洗牙導致的牙周病,會造成不可逆的牙槽骨吸收。
迷思三:"洗牙後牙縫變大、牙齒敏感"
洗牙後感覺牙縫變大,是因為清除了填滿縫隙的牙結石,還原了牙齒真實狀態。短暫的敏感通常在1-2周內緩解,這是牙齒恢復健康的信號。

個性化洗牙頻率指南
普通人群:每年1-2次
咖啡/茶飲愛好者、吸煙者:每3-6個月1次
牙周病患者:治療期每3個月1次,穩定後每6個月1次
孕產婦:孕中期可進行1次,預防"妊娠期牙齦炎"
溫馨提示:定期洗牙不是額外的消費,而是對健康的明智投資。它守護的不僅是口腔健康,更是全身健康和未來的生活質量。下一次,當您考慮是否要跳過今年的洗牙時,請記住:今天的預防,遠勝於明日的治療。
愛康健口腔醫院洗牙牙醫推薦
曾紅艷(主治醫師/集團牙周學科帶頭人、口腔醫院牙周科主任)

愛康健口腔集團牙周學科帶頭人、深圳愛康健口腔醫院牙周科主任,主治醫師,美國牙周學會國際會員,獲得2020年華南國際會展牙周優秀病例及2020廣東省口腔醫師病例大賽金獎。常年參加國內各種口腔學術交流,並多次赴北京、上海、韓國、意大利等地參加口腔醫學領域專業培訓,受邀全國性牙周病學學術會議做匯報,對復雜疑難的牙周疾病能夠提出專業的、行之有效的治療方案。2018年獲得廣東省民營口腔醫師病例展示競賽銀獎。擅長牙潔治技術、各種牙周疾病的專業治療及手術治療(翻瓣術及牙周引導骨組織再造術、齦切除術)以及種植體周圍感染疾病的治療。
趙瑩 (主治醫師/口腔醫學碩士)

深圳愛康健口腔醫院口腔修復醫生,主治醫師,畢業於蘭州大學口腔醫學院,中山大學光華口腔醫學碩士。曾在深圳市人民醫院學習進修一年,曾被集團選派前往韓國首爾口腔整形醫院進行學術交流和學習,青年骨幹醫生,數次獲得省內口腔修復病例大賽優秀獎。擅長對牙體牙髓、各類義齒修復、外科拔牙、復雜牙周病的系統治療等方面有豐富的臨床經驗,在多發病聯合診治中有獨到思路,製定科學的治療計劃。熟悉掌握口腔科常見病、多發病的診斷、治療工作。
向倩黎 (副主任醫師/口腔全科醫師)

愛康健口腔集團富康口腔門診部(羅湖火車站店)口腔全科醫師,副主任醫師,牙周及牙體牙髓專科醫師,曾在三甲醫院口腔科工作多年。畢業於川北醫科大學口腔專業,曾多次在華西醫科大學學習進修。擅長各類牙周和牙體牙髓疾病的診斷和治療,包括(牙周冠延長術,翻瓣術,牙齦修復術,根管治療)。美容全瓷冠;嵌體和貼面;全口活動義齒和部分義齒的修復;阻生齒(智慧齒)的無痛拔除術。長期從事牙周和牙體牙髓疾病的診斷和治療,同時對口腔修復中活動義齒,固定義齒,全瓷冠,嵌體和貼面的修復積累了寶貴的臨床經驗。多次在國內各種病例大賽中獲得金獎和銀獎。受到廣大患者的好評,是一個真正的一心專研業務的好醫生。
利展鴻 (執業醫師/口腔醫學碩士)

愛康健口腔集團王琦口腔診所(福田口岸店)全科醫師,執業醫師,南方醫科大學口腔醫學專業碩士,牙周疾病防控中心委員會委員,在口腔領域擁有較為豐富的臨床經驗,熟練掌握口腔科常見疾病的診斷與治療,如根管治療、全冠嵌體修復、牙周治療等的全科操作技能,尤其擅長如阻生牙拔除術等齒槽外科類的專業技能。擅長牙齒美白、牙齒貼面、微創拔牙、補牙、根管治療、阻生智齒拔除、冠修復、牙周治療、牙體牙髓疾病防治、補牙等,為人誠懇謙虛,嚴謹細致,能夠以口腔全科的思維多角度更全面的思考臨床問題。
需註意的是,每個人的牙齒條件不同,建議先由專業醫生評估牙釉質厚度、牙齦狀態及變色原因,再製定方案。牙齒顏色並不完全代表口腔健康,不必因顏色問題過度焦慮,安全性和適合性比「快速變白」更重要。
相關推薦:深圳愛康健牙科收費價目表