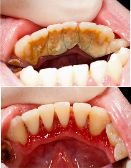
洗牙是通過專業器械清除牙齒表面及牙齦下的牙菌斑、牙結石等沈積物的口腔清潔方式,主要目的是預防牙齦炎、牙周病,維護口腔健康。正常人群建議每6-12個月洗牙一次,但具體頻率需根據口腔狀況調整。

洗牙是一種常見的口腔保健措施,具有多方面的好處,但也可能伴隨一些短期不適或風險。
洗牙的好處:
預防牙周疾病
清除牙菌斑、牙結石和色素沈積,減少牙齦炎、牙周炎風險,預防牙齒松動和脫落。
改善口腔異味
去除細菌滋生環境,緩解因牙結石和菌斑導致的口臭。
早期發現口腔問題
醫生可在洗牙時檢查齲齒、牙齦萎縮、牙齒隱裂等問題,及時幹預。
恢復牙齒本色
清除煙漬、茶漬等外源性色素,使牙齒恢復自然光澤。
保護全身健康
口腔健康與心血管疾病、糖尿病等關聯,洗牙有助於降低相關風險。
洗牙可能存在的短期不適或風險:
牙齒敏感
牙結石清除後,牙根暴露,遇冷熱刺激可能出現短暫敏感,通常1-2周內緩解。
牙齦出血
牙齦炎癥較重者,洗牙時可能出現少量出血,炎癥消退後會改善。
牙縫「變大」
長期被牙結石填塞的牙縫在清理後會顯得更明顯,實為還原牙齒真實狀態,並非洗牙導致。

操作不當的風險
非正規機構可能因器械消毒不徹底或手法粗糙導致牙齦損傷、牙齒劃痕。
過度洗牙的隱患
過於頻繁洗牙(如3個月內多次)可能損傷牙釉質,建議健康人群每年1-2次,牙周病患者遵醫囑。
愛康齒科洗牙多少錢
深圳愛康健口腔醫院及愛康健齒科12間連鎖門店洗牙價格因套餐和活動而異,以下是常見的洗牙方式及價格費用:

超聲波保健洗牙(不帶噴砂)
常規洗牙價格:60元/次
老年人專屬優惠:65歲以上老人可享58元/次;
菌斑導向專業洗牙(超聲波+有鹽噴砂)
超聲波+噴砂+拋光等項目,洗牙價格為168元/次;
菌斑導向專業洗牙(超聲波+無鹽噴砂)
常規洗牙價格:550元/次
老年人專屬優惠:65歲以上老人可享168元/次;
注:65歲及以上符合申請長者醫療券的香港長者羅湖愛康健口腔醫院進行洗牙可以使用香港醫療券支付洗牙費用,長者醫療券僅適用於深圳愛康健口腔醫院,愛康健其他連鎖門店不適用,如想用香港醫療券預約看牙的香港市民朋友,請約愛康健羅湖口岸附近門店——深圳愛康健口腔醫院!

哪些人需要洗牙?
①牙結石明顯 (牙齒內側或牙齦邊緣有黃色/褐色硬質沈積);
②牙齦出血或紅腫 (刷牙或咬硬物時易出血);
③口腔異味 (牙結石長期堆積導致細菌滋生);
④正畸或種植牙患者 (需更嚴格維護口腔衛生)。
註意事項:
以上價格為近期活動價,具體以到院咨詢或官方渠道為準。
洗牙前建議提前預約,並告知醫生口腔健康狀況。
若有特殊需求(如深度清潔、治療性洗牙等),費用可能有所不同。
建議通過愛康健口腔醫院官方(官網、電話或微信小程序)確認當月最新價格及活動優惠,以便享受優惠洗牙服務。

——————————————
在線預約->愛康健口腔連鎖門店->掛號方式如下:
WhatsApp:+86 14775988935
香港掛號熱線:00852-62157070
大陸掛號熱線:0755-61302632
愛康健香港官網:【線上預約掛號】
官方網站【https://www.akjkqyy.com/】
——————————————
相關推薦:深圳愛康健牙科中心收費價目表