关闭
市二級口腔專科醫院
30年老字號牙科
長者醫療券指定牙科機構
長者優惠
客服
WeChat
醫療劵咨詢
愛康健口腔
牙周炎 小档案
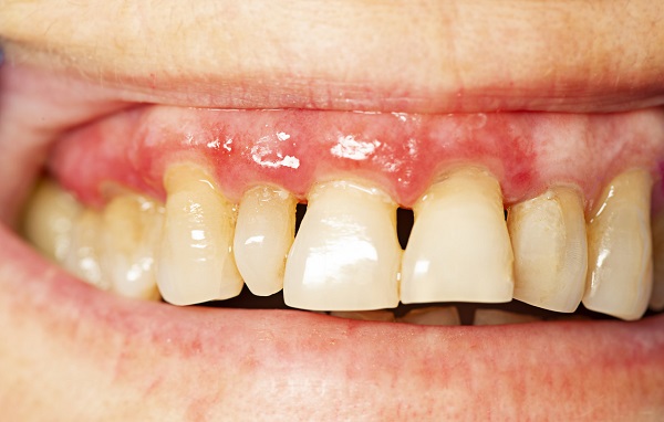
牙周炎是指發生於牙周組織的慢性炎癥口。牙周組織即牙齒周圍的組織,主要功能是支持、固定和營養牙齒,包括牙槽骨、牙齦、牙周膜和牙骨質,炎癥可波及牙齦軟組織以及牙齒深部的支持組織,病變嚴重時可導致牙齒松動或脫落。①牙周基礎治療:輕度牙周炎可以采用齦上潔治和齦下刮治,配以漱口水和普通抗生素進行治療。中度、重度牙周炎需進行進一步治療,除了進行齦下潔治和齦下刮治,還需進行翻瓣刮治術,將牙齦翻開,將黏膜和骨瓣暴露於眼前,把牙周袋內的牙石、菌斑、炎性肉芽組織清洗幹凈;②手術治療:基礎治療後,如中、重度牙周炎仍有牙周袋,需要進行手術治療,如牙齦翻瓣手術、牙周組織再生手術,手術後需要進行下一步治療。如果牙周炎引起牙齒松動、移位,需要進行正畸,松動的牙齒需要拔除,拔除後前往修復科,進行活動義齒和種植牙的修復治療。請問深圳牙周炎治療多少錢?深圳愛康健口腔醫院治療牙周病怎麼收費:輕度牙周病系統治療¥4000-5000元(—療程)、中度牙周病系統治療¥5100-8000元(一療程)、重度牙周病系統治療¥8100-13000元(一療程),以上價格僅供參考不作診療收費依據,具體費用需到院面診醫生為準!65歲及以上且符合申請長者醫療券的香港長者在羅湖愛康健口腔醫院進行牙周病治療可使用長者醫療券支付門診護理費用!
重度牙周炎系統性治療挽救患牙方案!愛康健牙周病治療可用香港長者醫療券支付

重度牙周炎系統性治療挽救患牙方案!愛康健牙周病治療可用香港長者醫療券支付

重度牙周炎該怎麼治療?重度牙周炎需通過系統治療控製炎癥,減少牙槽骨吸收,盡可能保留牙齒功能;治療以清除菌斑結石為核心,結合牙周手術修復及長期維護!新診客戶即日起至2025年12月31日前往深圳愛康健口腔醫院及12間愛康健齒科連鎖門診即享:牙周病治療8折;牙周刮治首顆半價(原價300元/牙)!符合資格的香港長者在羅湖愛康健口腔醫院進行牙周病治療/洗牙可以使用香港長者醫療券支付門診護理費用!深圳牙周病治療費用,愛康健潔牙價錢,深圳牙周炎治療多少錢,深圳洗牙幾多錢

317
2025-12-11
牙周炎導致牙齒缺失還能做種植牙?羅湖愛康健口腔種植牙/牙周治療支持香港醫療券

牙周炎導致牙齒缺失還能做種植牙?羅湖愛康健口腔種植牙/牙周治療支持香港醫療券

牙周炎導致缺牙還能做種植牙?牙周炎患者缺牙後可以考慮種植牙,但需先控製牙周炎癥,評估牙槽骨條件,並確保全身健康狀況允許;治療過程可能較為復雜,需與醫生充分溝通,製定個性化的治療方案!愛康健牙科收費價錢:超聲波保健洗牙60元,特價種植牙3680元起/顆,牙周治療8折,牙周刮治首顆半價!愛康健牙醫由碩博(鞏賢平院長/碩士;吳雨函博士;曾紅艷主任;盧勇輝院長;趙瑩碩士;嚴思碩士等)專業團隊組成,專注各種牙周病治療及種植牙修復!深圳牙周病治療費用,愛康健價錢,深圳種植牙多少錢

90
2026-01-21
中度牙周炎怎麼治療有效?愛康健口腔醫院牙周治療支持香港醫療券支付

中度牙周炎怎麼治療有效?愛康健口腔醫院牙周治療支持香港醫療券支付

中度牙周炎怎麼治療?中度牙周炎治療包括基礎治療(洗牙;齦下刮治和根面平整),藥物輔助治療,手術治療(牙周翻瓣術,植骨術)及維護治療,各環節針對不同情況采取相應措施,以促進牙周組織恢復與維持健康!愛康健牙周活動:超聲波保健洗牙60元,牙周治療8折,牙周刮治首顆半價(原價300元/牙)!符合申請長者醫療券的香港長者在深圳愛康健口腔醫院進行洗牙/牙周病治療/脫牙/種植牙等項目可使用香港長者醫療券支付門診護理費用!深圳牙周病治療費用,中度牙周炎如何治療,深圳洗牙幾錢,愛康健,深圳牙周炎治療多少錢

96
2026-01-20
牙周炎警報信號從牙齦出血到牙齒松動|深圳愛康健齒科牙周治療8折,牙周刮治首顆半價

牙周炎警報信號從牙齦出血到牙齒松動|深圳愛康健齒科牙周治療8折,牙周刮治首顆半價

牙周炎癥狀的表現是什麼?牙周炎是一種常見的口腔疾病,主要表現為牙齦紅腫出血,牙齦退縮,牙齒松動,口臭,牙周袋形成,牙齒移位或敏感等癥狀,嚴重時可引發牙齒脫落!深港市民即日起至2026年2月28日前往愛康健齒科連鎖門店即享:牙周治療8折,牙周刮治首顆半價(原價300元/牙)超聲波保健洗牙60元,菌斑導向專業潔牙158元/次!符合申請長者醫療券的香港長者在深圳愛康健口腔醫院進行牙周病治療/洗牙可以使用香港長者醫療券支付門診護理費用!深圳牙周炎治療多少錢,愛康康潔牙價錢,牙周炎怎麼治療,深圳牙周病治療費用多少

137
2025-12-30
請問牙齦下刮治疼嗎?深圳愛康健做牙周刮治首顆半價(原價300元/牙,第二顆起按門店優惠執行)

請問牙齦下刮治疼嗎?深圳愛康健做牙周刮治首顆半價(原價300元/牙,第二顆起按門店優惠執行)

牙齦下刮治疼嗎?齦下刮治通常不會明顯疼痛,治療前醫生會使用局部麻醉緩解不適,過程中可能有輕微酸脹感或牙齦壓迫感,但但通常在可忍受範圍內,具體疼痛程度因人而異!深圳愛康健口腔醫院及愛康健齒科12間連鎖門店齦下刮治價錢費用:牙周刮治首顆半價(原價300元/牙;第二顆起按門店優惠執行)牙周治療 8折!刮治後1-2天內,牙齦可能出現輕微脹痛,牙齒敏感或唾液帶少量血絲,屬於正常現象,一般1-2天後逐漸緩解!深圳牙周病治療費用,齦下刮治多少錢一顆牙,深圳齦下刮治價錢

291
2025-11-29
齦下刮治對牙齒有好處嗎?深圳愛康健齒科牙周刮治首顆半價,牙周治療8折

齦下刮治對牙齒有好處嗎?深圳愛康健齒科牙周刮治首顆半價,牙周治療8折

齦下刮治對牙齒有好處嗎?齦下刮治是治療牙周炎的重要手段,通過清除牙齦下方牙根表面的牙結石,菌斑和病變組織,能有效控製炎癥,減少牙齦出血,防止牙槽骨進一步吸收!深港市民 即日起至2025年12月31日前往深圳愛康健口腔醫院及愛康健齒科12間連鎖門店即享:牙周治療8折,牙周刮治首顆半價(原價300元/牙,第二顆起按門店優惠執行)!如您想約愛康健牙科進行牙周治療,請撥打愛康健香港電話熱線6215 7070或點擊愛康健官方WhatsApp:+86 14775988935進行在線咨詢或掛號!深圳齦下刮治一般多少錢,深圳牙周治療費用

211
2025-11-28
患有牙周病是不是就與種植牙無緣了!牙周病治療香港醫療券可以用嗎

患有牙周病是不是就與種植牙無緣了!牙周病治療香港醫療券可以用嗎

牙周病是不是不能種植牙?深圳愛康健齒科(香港官方電話6215 7070)解析:周炎患者是否適合種植牙,需要根據具體病情和牙周狀況綜合評估;核心原則是必須先控製炎癥,穩定牙周組織,再評估骨量是否滿足種植條件;如果未經規範治療直接種植,可能因感染或骨量不足導致種植失敗!65歲及以上符合申請長者醫療券資格的香港長者深圳愛康健口腔醫院進行洗牙/牙周病治療/種植牙等項目可使用香港長者醫療券支付門診護理費用!深圳牙周病治療費用,愛康健價錢,牙周炎治療需多少錢,深圳種植牙幾多錢

521
2025-10-30
為什麼要做牙周炎刮治?牙周炎刮治有必要做嗎?香港醫療券能用嗎?

為什麼要做牙周炎刮治?牙周炎刮治有必要做嗎?香港醫療券能用嗎?

牙周炎刮治有必要做嗎?牙周炎刮治是治療中重度牙周炎的必要手段,通過清除牙齦下的牙石和菌斑,阻止炎癥進展,保護牙齒和牙槽骨!愛康健齒科牙周炎治療怎麼收費:深圳愛康健齒科連鎖門店輕度牙周炎系統治療4000元-5000元/療程;中度牙周炎系統治療5100元-8000元/療程;重度牙周炎系統治療8100元-13000元/療程!符合資格的香港長者在深圳愛康健口腔醫院進行洗牙/牙周病治療可使用香港長者醫療券支付治療費用!深圳牙周炎刮治大概多少錢,牙周病治療香港醫療券能用嗎,深圳牙周炎的治療費用是多少

493
2025-09-25
共52条 当前1/7页首页前一页123456···后一页尾页
推薦醫師
14院连锁
就诊环境

沈虹口腔诊所

康辉口腔门诊

深圳爱康健口腔医院

恒雅门诊

恒洁门诊

王琦门诊

裕亨门诊

富亨门诊

李川门诊

恒美口腔门诊

富港口腔診所

富康口腔门诊

12院品牌连锁

  • 深圳爱康健口腔医院
  • 富康口腔门诊部
  • 康辉口腔门诊部
  • 恒洁口腔门诊部
  • 颜丽口腔诊所
  • 李川口腔诊所
  • 王琦口腔诊所
  • 裕亨口腔诊所
  • 恒美口腔门诊部
  • 沈虹口腔诊所
  • 恒雅口腔门诊部
地址
深圳市罗湖区火车站大厦C区1-8楼
营业时间
9:00-18:00
(节假日照常上班)
咨询电话
(深圳)852-62157070

00852-62157070
— 点击拨打口腔咨询热线 —

隐私政策    |    免责条款    |    网站地图

深圳爱康健口腔医院版权所有

广审号 :粤(B)广[2025]第05-22-781号

本網站信息僅供參考,不作為診療及醫療依據

營業時間:周壹至周日 9:00-18:00

香港電話:00852-62157070

咨詢電話:852-62157070

愛康健齒科香港網站:https://www.akjkqyy.com/

總院地址:深圳市羅湖區火車站大廈C區1-8樓

首页 本月優惠
電 話
挂号 Whatsapp
預約掛號
*就診項目:
*您的姓名:
*您的電話:
*就診地區:
*就診日期:
*就診時間:
重填
s